![]() |
| It is hard and it takes time, but as long as it's "only" insulin resistance and not full-blown diabetes (=pancreatic failure) most people can get rid of it by turning their lives upside down. |
Thus our definition of what I would like to call "metabolically relevant adiposity" instead of "obesity" can apply to lean and "obese" people alike. In fact, the number of people with a "normal body weight" and insulin resistance is ever increasing. So, if you don't want to be one of them, you better keep the following five DOs and avoid the corresponding "DON'Ts", which would be sitting or lying around all day, eating and drinking sugar-sweetened foods and beverages, consuming alcohol (and other hepatoxic substances), smoking cigarettes, staying up late, eating 24/7, missing your daily time-outs and abusing stimulants.
Details on the optional use supplements & medications will follow next Sunday. What I can already tell you, though, is that can get rid of insulin resistance without a single supplement or pharmacological agent, but you will never get off the diabesity track, if you are unwilling (don't you ever tell me you are "unable") to change the way you eat and increase your daily activity levels.
And yes, lifestyle modification is all it takes for most of us to regain insulin sensitivity and rid ourselves of type II diabetes (in the early stages): With 50% of the subjects being able to normalize their blood glucose levels and more than 50% of the type 2 diabetics in the study being in remission on the follow up, he Malmö study was the first, but is not the only the large scale intervention study that demonstrated the potent anti-diabesity effects of diet and exercise (Eriksson. 1991).
I. Work anaerobically, aerobically and frequentlyAnd yes, lifestyle modification is all it takes for most of us to regain insulin sensitivity and rid ourselves of type II diabetes (in the early stages): With 50% of the subjects being able to normalize their blood glucose levels and more than 50% of the type 2 diabetics in the study being in remission on the follow up, he Malmö study was the first, but is not the only the large scale intervention study that demonstrated the potent anti-diabesity effects of diet and exercise (Eriksson. 1991).
Workout evolution: It goes without saying that I don't expect you to start working out 5x per week "cold turkey", i.e. if you have been sitting around 364 out of 365 days of the year for the most part of your previous life (I don't have to repeat that this is over, now, right?). On the other hand, I would be lying if I told you that you can actually make measurable progress without at least 3 workouts per week. I would thus suggest you start with a 2 + 1 strategy using 2 full body workouts and one light intensity cardio training, after a month you add another cardio session and after 3 month you will add in the additional strength training session. After 6 months you switch to a split routine and increase the intensity on your cardio sessions by 15% - this should not feel more intense now that your fitness has improved than the original regimen you've taken up 180days before.
There is nothing that helps your body clean up the mess like working out. Researchers from the University of Verona and Azienda Ospedaliera Universitaria Integrata of Verona have just published a paper on the differential effects of strength and aerobic training on the liver fat content in type 2 diabetic subjects with NAFLD. The results were pretty amazing.After only 4 months in the course of which the subjects ate according to the (imho not exactly optimal dietary recommendations for type II diabetics; i.e. low fat) and 3 workouts per week, both the subjects in the 3x9 exercise in a circuit training fashion and their peers in the 60min aerobics @ 60-65% of the max. heart rate had lost 32.8% and 25.9% liver fat.
"Additionally, hepatic steatosis (defined as hepatic fat content>5.56%) disappeared in about one-quarter of the patients in each intervention group (23.1% in the AER group and 23.5% in the RES group." (Bacchi. 2013)While there is no study that measured the effects of training fasted on the liver directly, I guess you can take it for granted that esp. the group doing the aerobics could have improved their results even further, if they had performed their 60min of cardio on empty.
Bottom line: Get active or stay active. Combine resistance and aerobic training. Get serious and start working your way up to 5 workouts per week with 2x aerobic (steady state walking on an incline treadmill or taking a fast walk for 45min) and 3x resistance training sessions (either a circuit training or a pull, push, legs, 3-way split; don't train to failure in more than one set per exercise, keep the reps in the 8-10 range, increase the weights appropriately, do max. 18 sets per workout, in & out of the gym in <30min) to get rid of your insulin resistance and at least 3 workouts (2x weights, 1x LISS) if you just want to keep your insulin sensitivity is already high and you want it to stay just there.
II. Minimize your sugar intake, control your carb intake
![]() |
| In case you wonder where the 120g come from and if this is just some random number, I suggest you go back to a previous SuppVersity post, namely "Carbohydrate Shortage in Paleo Land: New Data for A Scientific Outlook at the Low-to-No Carb Paleo Confusion. Will More Than 125g of Carbs Make You Fat?", you may also want to reread my interview w/ Sean Casey at CasePerformance.com |
At the same time, you will reduce your carbohydrate intake to 120g per day with a 40g limit on a per meal basis. It should not be necessary and may even be detrimental to go further down, because you won't ever learn how to walk without a crutch if you sit in a wheelchair - or to leave the metaphors behind: Unless you intend to stay insulin resistant and metabolically unflexible for the rest of your life, you better not go "no carb", as this will effectively require a high degree of (physiological) insulin resistance to work (for the morbidly obese it may yet be necessary to take the ketogenic route).
Moreover, the "gray area" between 120g and no-carbs sets you up to hypoglycemic episodes as your body will not effectively switch into ketosis, which would be necessary to supply a steady amount of energy. This problem will become even more pronounced, when you try to make up for the lack of carbs by consuming exorbitant amounts of protein.
Unless you are "skinny fat" (normal or low BMI + insulin resistant) you will use the reduction in carb intake to generate a -15% to -20% caloric deficit to shed a couple of pounds of fat weight - and no, this is NOT going to happen without a caloric deficit.
Bottom line: 120-150g is an amount of carbs you should aim for as an intermediate goal. With <50g of carbs per serving you should be able to handle that without major blood sugar excursions, as long as you stick to your workout regimen and totally cut out processed foods with simple sugars. Also, fructose from whole fruit is not your enemy! You just have to make sure you account for it in your daily carb allowance. The latter is not the case for the minimal amount of carbs in green leafy veggies and co (broccoli, calliflour, zuccini, asparagus etc. you can safely fill yourself up on those)
III. Limit your alcohol intake, quit smoking and avoid medications
Contrary to its name, which is "non-alcoholic fatty liver disease", alcohol, does still play a major role in the etiology of NAFLD. It may not be the sole reason, but the way it inhibits the normal function of your liver makes it more susceptible to the junk-food assaults it's exposed to on an almost daily basis. The same goes for all medications / "supplements" with hepatoxic effects.
| Compromised liver health as in beginning or full-blown (N-)AFLD is a totally underestimated risk factor for gyneco- & lipomastia as it hampers the not only the glucose, but also the hormone metabolism in the liver (learn more) |
Moreover, nicotine does also increase the chronic mammalian target of rapamycin (mTOR)/p70S6 K activity and insulin receptor substrate-1 (IRS-1) Ser636 phosphorylation and will thus directly promote skeletal muscle insulin resistance (Bajaj. 2012).
Bottom line: While the chronic ingestion of more than 1 glass of wine per day is going to give you alcoholic liver disease, regular weekend binges precipitate and accelerate the development of NAFLD and insulin resistance. Cigarettes will compromise your insulin sensitivity in multiple ways and the use of medication, let alone performance enhancing drugs with detrimental side effects on the liver will exponentially increase the negative impact of any dietary glitch on your insulin sensitivity.
IV. Sleep, de-stress and control your stimulant intake
Please remember: Sympathetic overtraining from heavy lifting can cause sleeplesness while para-sympathetic overtraining from training too much (you can easily make the transition from sympathetic to parasympathetic overtraining), will leave you exhausted 24/7 - the 5x/week scheme above is only sustainable if you stick to the given volume and intensity limits and light intensity steady state cardio training (if you want on empty early in the morning). The latter is a better complement to restistance training than HIIT for improving insulin resistance because there is less overlap between the metabolic pathways they target).
Not getting enough sleep, alone will hamper you ability to handle glucose. This is mostly due to changes in the hormonal profile with chronically elevated cortisol levels esp. in the evening, a lack of nightly growth hormone stimulation and a desynchronization of the central (brain) and peripheral (liver, muscle, other organs) clock.![]() |
| Figure 1: After 6 nights with only 4h of sleep (left) your glucose insulin response to breakfast deteriorates compared to 6 nights with 12h spend in bed (not necessarily 12h sleeping; Spiegel. 1999) |
The latter is also true for the use of stimulants. It's scary to see how many of us depend on them to even make it through the day. Aside from circadian shifts, they will have the same detrimental effects on the FFA metabolism and gluconeogensis as cigarette smoking (see discussion under item III).
Bottom line: Plan your sleep and time-outs across the day as rigorously as your workout & nutrition. Spend 8h in bet every night (if that does not help try 1-10mg of melatonin; learn more). Close the curtains and use ear-plugs if that helps you sleep. Schedule at least 15 minutes of idleness every 3h. That's about as much time as it takes to brew and drink a cup of tea. The emphasis here is on "a" (=a single) cup of tea. If you feel too tired to make it through the day without >400mg of caffeine, this is a clear cut sign you got to revise your sleep & destress routine.
V. Fast, get enough protein and watch your omega-6 intake
![]() |
| US childhood obesity map. Go back to the "Insulin Resitance Saga" to learn about the roots diebesity in the kindergarten. |
Also try and to get ~2x the RDA, i.e. 1.6g of protein per kg of body weight from food (learn why) and spread your protein intake across your meals in a way that ensures that you'll get at least 30g or quality protein per meal (find out why this is important). Consider using a protein shake after your resistance training sessions.
If possible include fatty fish in your diet on one, better two days of the week and keep an eye on your overall omega-6 intake. Try to reduce it to achieve a 5:1 omega-6 to omega-3 ratio (or lower; learn why). If you cannot force yourself to eat fish, consume 1-2g of fish oil in capsules every other day.
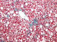
![]() |
| Too much of a good thing? Micrograph of non-alcoholic fatty liver disease, caused by the same kind of lipid accumulations M-Shirazi et al. observed in rats after receiving high dose fish oil supplements in a 2011 study (learn more) |
In this context it is also worth mentioning that you do not want to totally eliminate omega-6 fatty acids from your diet. A 2012 study by Sawada et al., for example, showed that the allegedly bad arachidonic acid (ARA, the end-product of the enzymatic conversion of short-chain omega-6 fatty acids) is a 75x more potent activator of skeletal muscle glucose uptake than oleic acid and on par with it's omega-3 cousin DHA (Sawada. 2012).
Bottom line: Don't eat 2h before bed, and / or skip breakfast to extend your daily fasting period to at least 10h, but no more than 16h (you need that 8h window to fit in 2-3 meals). Get enough protein in your diet, but make sure you are not living off protein alone. Try to normalize your omega-6:omega:3 ratio. Strive for an 5:1 ratio of n-6:n-3 or less. Don't be fooled by the "saturated fat is not the problem"-lie and keep in mind that palmitic acid, not arachidonic acid is the bad guy, when it comes to skeletal muscle insulin resistance (things may look different when we are talking about endothelial inflammation, but this guide is about the remission of insulin resistance).
Dont forget to come back next week for Part II of this two part series.
References:
- Bajaj M. Nicotine and insulin resistance: when the smoke clears. Diabetes. 2012 Dec; 61(12):3078-80.
- Benoit SC, Kemp CJ, Elias CF, Abplanalp W, Herman JP, Migrenne S, Lefevre AL, Cruciani-Guglielmacci C, Magnan C, Yu F, Niswender K, Irani BG, Holland WL, Clegg DJ. Palmitic acid mediates hypothalamic insulin resistance by altering PKC-theta subcellular localization in rodents. J Clin Invest. 2009 Sep;119(9):2577-89.
- Eriksson KF, Lindgärde F. Prevention of type 2 (non-insulin-dependent) diabetes mellitus by diet and physical exercise. The 6-year Malmö feasibility study. Diabetologia. 1991 Dec;34(12):891-8
- Hirabara SM, Curi R, Maechler P. Saturated fatty acid-induced insulin resistance is associated with mitochondrial dysfunction in skeletal muscle cells. J Cell Physiol. 2010 Jan;222(1):187-94.
- Sawada K, Kawabata K, Yamashita T, Kawasaki K, Yamamoto N, Ashida H. Ameliorative effects of polyunsaturated fatty acids against palmitic acid-induced insulin resistance in L6 skeletal muscle cells. Lipids Health Dis. 2012 Mar 12;11:36.
- M-Shirazi M, Taleban FA, Abadi AR, Sabetkasaei M. Fish oil increases atherosclerosis and hepatic steatosis, although decreases serum cholesterol in Wistar rat. J Res Med Sci. 2011 May;16(5):583-90. PubMed PMID: 22091279; PubMed Central PMCID: PMC3214368.
- Spiegel K, Leproult R, Van Cauter E. Impact of sleep debt on metabolic and endocrine function. Lancet. 1999 Oct 23;354(9188):1435-9.




